



Bonding


Bonding


Bonding


Bonding


Bonding


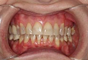
Bridges


Bridges


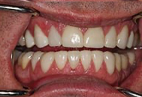
Crowns


Crowns
Crowns
Crowns
Crowns
Crowns
Crowns
Crowns
Crowns
Implants
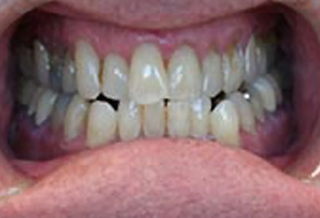
Veneers
Veneers
Veneers
Veneers
Veneers
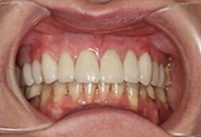
Zoom Whitening
Zoom Whitening
Zoom Whitening